Innovative University Hospitals Programs Take Aim at Complex Coronary Disease

Share
Facebook
X
Pinterest
LinkedIn
Email
Print

Innovations in Cardiovascular Medicine & Surgery | Fall 2021

Expert cardiologists and surgeons at University Hospitals Harrington Heart & Vascular Institute are improving outcomes systemwide for patients with complex coronary disease and risk factors for future disease progression.

Paul Poommipanit, MDPaul Poommipanit, MD
Marc Pelletier, MD, MSc, FRCSCMarc Pelletier, MD, MSc, FRCSC

“Increasingly, patients presenting with multi vessel coronary artery disease have significant comorbidities,” says Paul B. Poommipanit, MD, Interventional Cardiologist at University Hospitals Harrington Heart & Vascular Institute. “As we continue to treat complex arterial disease, what separates University Hospitals from other institutions is that we draw on multidisciplinary experts from across our health system and build consensus to achieve the best outcomes for each patient. Sometimes, the solution is bypass surgery, but other cases are better addressed with percutaneous revascularization or medical therapy.”

Weekly Collaboration

Dr. Poommipanit runs the Complex Coronary and High-Risk Patient (CHIP) program along with Marc Pelletier, MD, MSc, FRCSC, Chief of the Division of Cardiac Surgery at University Hospitals Cleveland Medical Center and Director of the Heart Surgery Center for University Hospitals Harrington Heart & Vascular Institute.

CHIP brings together interventional cardiologists, cardiothoracic surgeons, cardiology fellows and invited specialists across the University Hospitals system via virtual weekly meetings. The purpose is to provide a platform for experts to discuss individual cases, offer thoughtful opinions and agree upon the best course of treatment for each patient. In addition to scheduled meetings, urgent cases are addressed on an ad-hoc basis.

“The CHIP program is an evolution of our coronary heart team that enables complex patients to be presented to multiple physicians who have different experiences and skillsets,” Dr. Pelletier says. “This allows us to review options for these patients and helps us make the best possible recommendation for their care. Due to the structure and frank discussion that evolve each week, it has become one of the most valuable elements of providing complex coronary evaluations for these patients and one of the best meetings within the Institute.”

While coronary artery disease continues to be the most common type of heart disease, affecting more than 18 million adults in the United States, University Hospitals Harrington Heart & Vascular Institute also has multidisciplinary care pathways in place for patients with structural heart disease, heart failure or cardiogenic shock.

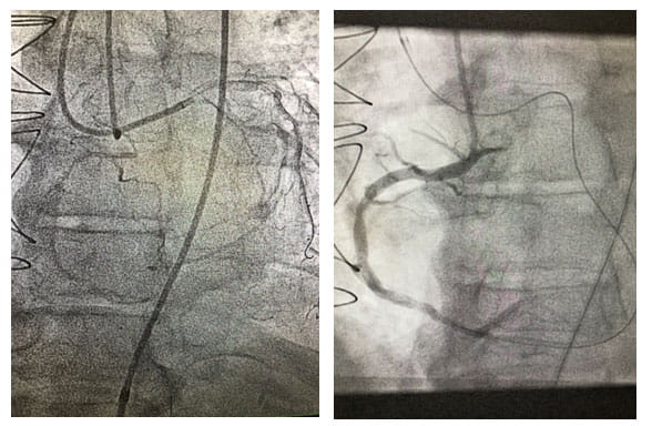
Before and after stent implantation of RCALeft image: Before stent implantation of RCA. Right image: After stent implantation of RCA.

Decentralizing Revascularization Procedures

For patients with chronic total occlusion (CTO), a multi-site program stemming from University Hospitals Cleveland Medical Center has demonstrated an annual revascularization success rate of 85 to 90 percent over the past three years.

“University Hospitals is unique in that we have decentralized our CTO program with a high success rate and better availability for our communities,” Dr. Poommipanit says. “As demand continues to increase, we are growing our interventional cardiology services at several University Hospitals locations that are in close proximity to our patient populations.”

RCA Image around the plaqueProcedure going around the plaque in the RCA and stuck back in to open it up. 4 min crossing time, 65 min total procedure time. Patient’s symptoms of chest pain and SOB resolved after stent this artery.

Performing more than 60 CTO revascularizations per year, University Hospitals Harrington Heart & Vascular Institute is achieving a success rate well above the national average of 55 to 60 percent. Each case requires individual evaluation and precision technique. Often, the heart develops collateral arteries to compensate for the blockage, essentially creating its own bypass. "Sometimes, we actually have to go backwards through these collateral arteries to make a connection and place a stent to open the blockage," Dr. Poommipanit says.

The team harnesses the advanced imaging capabilities and colleagues at University Hospitals Cleveland Medical Center regional cardiac labs to restore blood flow using minimally invasive techniques. “It requires some homework on my part to stay in communication with each location and ensure all the necessary equipment is on the shelves,” Dr. Poommipanit says. ‘Fortunately, the result is that we’re achieving excellent outcomes, improving symptoms and increasing patient satisfaction by providing these advanced revascularization procedures close to home.”

For more information on the CHIP or CTO programs, please contact Dr. Poommipanit at Paul.Poommipanit@UHhospitals.org.

Contributing Experts:
Paul B. Poommipanit, MD
Interventional Cardiologist
University Hospitals Harrington Heart & Vascular Institute
Clinical Assistant Professor
Case Western Reserve University School of Medicine


Marc Pelletier, MD, MSc, FRCSC
Chief, Division of Cardiac Surgery
University Hospitals Cleveland Medical Center
Director, Heart Surgery Center
University Hospitals Harrington Heart & Vascular Institute
Professor of Surgery
Case Western Reserve University School of Medicine

Share
Facebook
X
Pinterest
LinkedIn
Email
Print