Screening Initiative Shows Value of Coronary Artery Calcium Scoring

Share
Facebook
X
Pinterest
LinkedIn
Email
Print

CLARIFY program has helped reclassify the 10-year atherosclerotic cardiovascular disease risk for roughly one in five patients

Innovations in Cardiovascular Medicine & Surgery - Fall 2020

Sanjay Rajagopalan, MD Sanjay Rajagopalan, MD
Sadeer Al-Kindi, MD Sadeer Al-Kindi, MD

University Hospitals Cleveland Medical Center has committed to an unprecedented investment in preventive cardiovascular medicine. Since 2017, at-risk patients can receive no-charge coronary artery calcium (CAC) testing through the health system’s pioneering CLARIFY initiative.

In an article published in the Journal of the American College of Cardiology (JACC)1, architects of the program explored its significant impact.

“The challenge with diseases like coronary artery disease is that the first manifestation of disease is too often death or a devastating heart attack,” says Sanjay Rajagopalan, MD, Chief of the Division of Cardiovascular Medicine at University Hospitals Harrington Heart & Vascular Institute.

“Calcium scoring is the best test available to preemptively identify at-risk individuals and assess their need for appropriate intervention and treatment,” adds Dr. Rajagopalan, who is also the Herman K. Hellerstein MD Professor of Medicine and Radiology and Director of the Cardiovascular Research Institute at Case Western Reserve University School of Medicine.

Though the efficacy of CAC as a diagnostic tool is internationally recognized, reimbursement has been problematic. The system-wide initiative to address affordability started in 2014, thanks to the vision and leadership of Dr. Rajagopalan and Daniel Simon, MD, now the President of UH Cleveland Medical Center and a Professor of Medicine at the School of Medicine. At a time when many health systems were billing $500, UH began subsidizing CAC testing to reduce the patient out-of-pocket cost to $99. As a result, utilization skyrocketed.

“It has become part of our mission to make no-charge calcium scoring available to the public,” Dr. Rajagopalan says. “We are one of the only programs worldwide underwriting this crucial screening for our community.” 

Eligibility criteria for a no-charge CAC include:

  • Men age 45 or older and women age 55 or older with no previous history of cardiovascular disease with one or more risk factors for heart disease
  • Men and woman age 40 or older with a chronic inflammatory condition

As of this fall, more than 30,000 patients have undergone low- or no-charge screening at one of the 21 University Hospitals radiology locations throughout Northeast Ohio. Those CAC scores have reclassified the 10-year atherosclerotic cardiovascular disease (ASCVD) risk for roughly one in five patients.

“Unlike risk stratification scores derived for large populations, calcium scoring allows an individual to better understand their level of coronary artery disease,” Dr. Rajagopalan says. “Thus, there is no better test that provides a personalized assessment of risk for a specific patient than CAC scoring.”

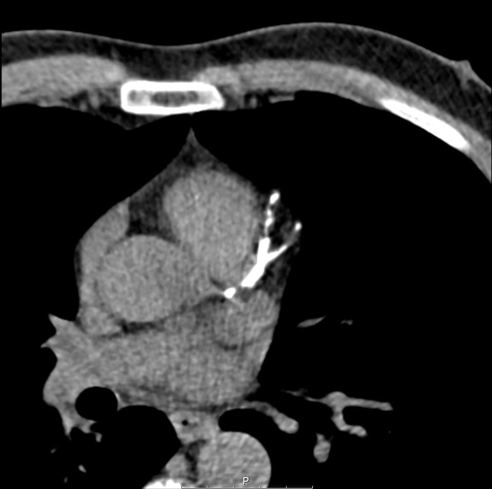
One patient story highlights the potential of CLARIFY to prevent an impending cardiac event. A 56-year-old man had high blood pressure, high cholesterol and a family history of heart disease. He had the opportunity to receive no-charge CAC, which flagged an extremely elevated risk level of 1274.

CACS high risk image CACS high risk image

“Calcium deposits were distributed over all three coronary vessels, including the left main coronary artery,” says Sadeer Al-Kindi, MD, a cardiologist at UH Harrington Heart & Vascular Institute specializing in advanced cardiovascular imaging and an Assistant Professor at the School of Medicine.

The patient underwent a stress test that showed equivocal results and was deemed indeterminate. An elective heart catheterization showed complete occlusion of the left anterior descending artery, left circumflex artery and the end-segment of the right coronary artery.

“Given his extensive blockages, University Hospitals heart surgeons performed coronary artery bypass surgery,” Dr. Al-Kindi says. “The CAC screening alerted us to a risk that might have not been addressed based on symptom presentation, and the patient experienced excellent outcomes.”

Analysis of CLARIFY registry data demonstrates that once the financial burden is removed, CAC testing increases in medically underserved and undertreated populations. Higher percentages of African Americans, women and people within lower socioeconomic subgroups have had the opportunity to participate in the potentially life-saving screening. That is because an elevated CAC score can flag risk for heart disease ahead of symptom burden or more traditional markers such as cholesterol level. With this knowledge, physicians have the opportunity to outline treatment options and talk proactively with patients about improving their heart health through lifestyle modifications such as diet and exercise.

“Testing results change the narrative in a personal way because patients can visualize evidence of atherosclerosis,” Dr. Rajagopalan says. “We have found that they are more empowered to make healthy lifestyle changes and adhere to their prescribed treatment.”

For more information or to refer a patient, call 440-703-8897 or email Dr. Rajagopalan at Sanjay.Rajagopalan@UHhospitals.org.

  1. Sadeer G. Al-Kindi, MD, Marco Costa, MD, Nour Tashtish, MD, Jared Duriuex, MS, MPH, David Zidar, MD, PhD, Imran Rashid, MD, Claire Sullivan, MD, Robert Gilkeson, MD, Daniel Simon, MD and Sanjay Rajagopalan, MD. No-Charge Coronary Artery Calcium Screening for Cardiovascular Risk Assessment. J Am Coll Cardiol. 2020 Sep, 76 (10) 1259-1262. doi: 10.1016/j.jacc.2020.06.077
Share
Facebook
X
Pinterest
LinkedIn
Email
Print