Improved Diagnosis, Management for Inflammatory Bowel Disease

Share
Facebook
X
Pinterest
LinkedIn
Email
Print

Innovations in Digestive Health | Winter 2025

Inflammatory Bowel Disease (IBD) is a global health problem. In the United States alone, an estimated 2.4 million to 3.1 million people have IBD, which includes Crohn’s disease and ulcerative colitis.

Vu Nguyen, MDVu Nguyen, MD

Clinicians use upper gastrointestinal endoscopy, colonoscopy and imaging to diagnose IBD and monitor treatment. However, endoscopy tests are invasive and take time, and a colonoscopy requires a strict pre-test cleansing regimen. Some imaging tools, such as CT scans, expose patients to radiation, as well.

Introducing Intestinal Ultrasound

Although ultrasound has been used in the point-of-care setting in other areas of medicine, until recently, intestinal ultrasound has only been practiced in a few academic centers in Europe. But its use is now available to patients in the United States thanks to forward-looking clinicians like Vu Nguyen, MD, Board Certified Gastroenterologist at University Hospitals Digestive Health Institute.

“The use of ultrasound in patients with IBD is fairly new in the U.S.,” Dr. Nguyen says. “In the past, we have only used ultrasound to look at the gallbladder and the liver, not the intestine or the colon. Now, we are using it in patients with IBD to look for signs of inflammation, to manage treatment and to diagnose other gastrointestinal complications such as diverticulitis, bowel obstruction and appendicitis.”

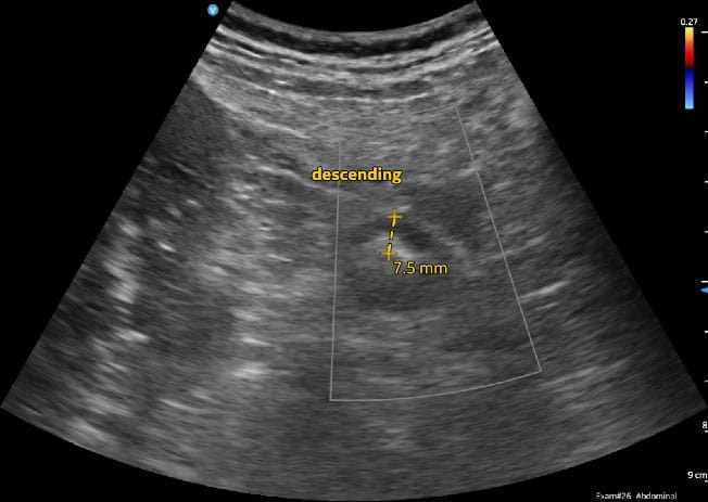
Intestinal Ultrasound of IBD Innovations in DH Fall 2024Caption: Wall thickening of the neo-terminal ileum in a patient with Crohn's ileitis.
Intestinal Ultrasound of IBD Innovations in DH Fall 2024Caption: Patient with active ulcerative colitis involving the left colon.

Dr. Nguyen says UH is one of only a few centers in the country currently offering ultrasound to patients with IBD, a small number in part because of the extensive training required for practitioners. 

“I attended academic centers in Italy and Canada to become trained and certified through the International Bowel Ultrasound Group and hope to offer this training at UH in the future,” he says. “Although intestinal ultrasound has limited availability in the U.S, it’s really helpful, and I foresee other centers will catch on before long.”

Ultrasound Offers Compelling Benefits

The use of ultrasound in IBD care provides a number of key benefits.

Point of Care. Instead of ordering an endoscopy, colonoscopy or other imaging tests, clinicians can use intestinal ultrasound directly in the office during patient appointments.

“This is convenient for patients and allows clinicians to quickly obtain important information, instead of waiting for results,” Dr. Nguyen says. “I have begun using it in my own office. It expedites diagnosis so we can immediately begin treating and managing patients and offers real-time monitoring of treatment.”

Safety. Unlike some imaging tests, ultrasound does not expose patients to radiation or require contrast dyes. This is especially important in certain patient populations, such as pregnant women, children and patients with renal comorbidities.

Pediatric patients — especially those who have IBD with flareups — can require multiple imaging tests, exposing them to large doses of radiation over the course of their lives. Furthermore, patients do not need to be sedated or go through the prep routine for a colonoscopy. Intestinal ultrasound also spares patients the burden of repeated endoscopy.

“Ultrasound is safe, poses no radiation risk and is fast, usually taking only 10 to 30 minutes,” Dr. Nguyen says. 

In addition to diagnosing IBD and other GI conditions, intestinal ultrasound can be used post-surgery to proactively identify potential complications, such as pockets of infection, he adds. Studies have shown that ultrasound is accurate in diagnosing IBD and monitoring response to treatment.

Additional studies are needed, and Dr. Nguyen is conducting a research study about how to use ultrasound for patients with abdominal symptoms with suspected IBD.

Looking to the Future

In July 2024, the American Gastroenterological Association published a peer-reviewed clinical practice update reviewing the available data and providing guidelines for using intestinal ultrasound in the diagnosing and treatment of IBD. 

“Intestinal ultrasound is a relatively new methodology in the IBD armamentarium,” Dr. Nguyen says. “We have data supporting its value in clinical care. Now we are hoping to make other clinicians aware that UH offers this technology for patients with abdominal pain, diarrhea or other GI symptoms.”

For more information regarding intestinal ultrasound, contact Dr. Nguyen at 216-844-1995.

Contributing Expert:
Vu Nguyen, MD
Gastroenterologist
University Hospitals Digestive Health Institute
Assistant Professor
Case Western Reserve University School of Medicine

Share
Facebook
X
Pinterest
LinkedIn
Email
Print