Making Spine Surgery Safer with 3D Printing

Share
Facebook
X
Pinterest
LinkedIn
Email
Print
University Hospitals Rainbow Babies logo

Innovations in Orthopedics – Spring 2018

Firefly® Technology guides surgeons through complex spinal surgeries to improve patient safety and outcomes

Christina Hardesty, MDChristina Hardesty, MD

After wearing a brace or cast for most of her life due to congenital scoliosis, an 11-year old girl can now move freely, play sports and generally act like a typical preteen thanks to groundbreaking surgery.

The young University Hospitals Rainbow Babies & Children’s Hospital patient was the first at University Hospitals – and in Ohio – to undergo spinal fusion surgery using FIREFLY® Technology. Firefly provides 3D-printed guides for pedicle screw navigation that mechanically constrain the drill and tap to follow preselected pathways. Using Firefly makes for extremely accurate screw placement. It also makes spine surgery safer and uses much less radiation.

Christina Hardesty, MD, Pediatric Orthopaedic Surgeon, UH Rainbow Babies & Children’s Hospital and UH Ahuja Medical Center; Assistant Professor, Orthopaedics and Adjunct Professor, Pediatrics, Case Western Reserve University School of Medicine, worked with Firefly engineers to turn CT scans of the young patient’s spine into an anatomically matched 3D-printed model. The 3D model, or guide, gave Dr. Hardesty a clear picture of the patient’s spine to help her prepare for surgery. When Dr. Hardesty placed the guides on the patient’s spine during surgery, she could see precisely where to place rods and screws – despite the twists and turns of the patient’s spine. 

The patient’s significant curve, caused by scoliosis and VATER Syndrome, a congenital defect that includes vertebrae abnormalities, made her a good candidate for Firefly.

“I had a suspicion that the pedicles, which are the pathways where the screws are placed in in the spine, would be abnormal,” Dr. Hardesty says. “If so, it would be difficult, in her case, to get screws safely down the pedicles without exposing her to a lot of X-ray radiation.”

3D printed anatomic model of the patient’s spine with pelvic guide in place3D printed anatomic model of the patient’s spine with pelvic guide in place.
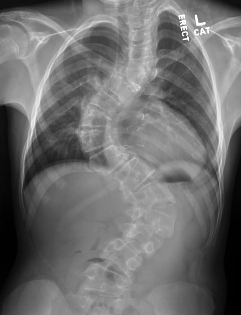
Preoperative scoliosisPreoperative scoliosis measuring greater than 80 degrees with congenital hemivertebra at T6.
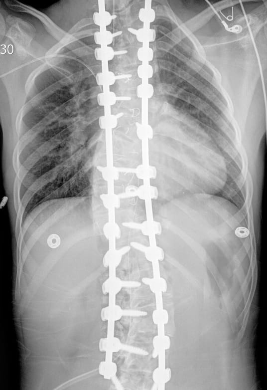
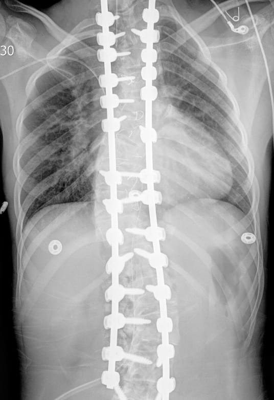
X-ray of spine after procedureAfter instrumentation and fusion, her curves measure less than 20 degrees with excellent correction in coronal and axial planes.

As suspected, a CT scan revealed the patient had “extremely tiny” and very sclerotic pedicles, Dr. Hardesty says. She had become familiar with Firefly Technology and felt confident it would provide a clearer navigational path than X-ray. The technology would also allow Dr. Hardesty to place screws without using intraoperative radiation, enhancing patient safety.

Firefly engineers analyzed the patient’s spine to help Dr. Hardesty choose screws with the correct diameter and length. “Normally we choose as we go,” says Dr. Hardesty. “When you have that information ahead of time, it speeds up the surgery. That results in less anesthesia time for the patient, which is safer for her.”

In addition to reducing the patient’s exposure to radiation and anesthesia, using Firefly decreases the risk of spinal cord, nerve and tissue damage. “Knowing you’re in the right place the first time you attempt to place a pedicle screw is safer for the patient’s anatomy,” Dr. Hardesty says.

Using Firefly, Dr. Hardesty was able to correct her patient’s spine from about a 90-degree curve to a 20-degree curve. “That would not have been achieved had I not been able to put two screws in at every level,” she says. “Without Firefly, I couldn’t have done that.”

Dr. Hardesty says employing the technology also shaved at least an hour off surgical time and helped speed the patient’s recovery. Her young patient walked upright the day after surgery.

Now fully recovered, the patient doesn’t have a shoulder that sticks out, or a curve that impacts her heart and lungs. Free from the brace, she is back to her “sassy” self, according to the patient’s mom. She’s getting ready for a horseback riding camp. She doesn’t have to miss gym class, and she can even take up sports if she wants.

Leading the Way with Firefly

Dr. Hardesty just completed her second Firefly surgery – this time including pelvic screws. This makes UH the first hospital system in the country to use the technology to place sacroiliac screws in a comprehensive fashion using the 3D guides.

Because of its precision and ability to improve patient safety, Dr. Hardesty expects that more UH surgeons will incorporate Firefly into their procedures.

“I think we will be able to use this technology in a number of complicated surgical procedures, which will make them safer and easier,” she says. “It replaces the need for intraoperative navigation and requires much less radiation.”

Dr. Hardesty predicts Firefly will soon create guides using MRI images, which would mean no radiation for the patient.

“All-around with Firefly we can provide better outcomes, both in the safety profile of the surgery and in the ability to correct the spine,” she says.

For more information about this case, email Peds.Innovations@UHhospitals.org.

To refer a patient for complex spinal surgery, or for more information on Firefly Technology, call 216-844-8350.

Share
Facebook
X
Pinterest
LinkedIn
Email
Print