Neurology & Neurological Surgery Medical Professionals
Aneurysm Surgery
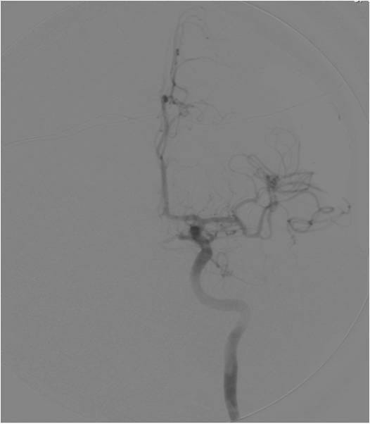
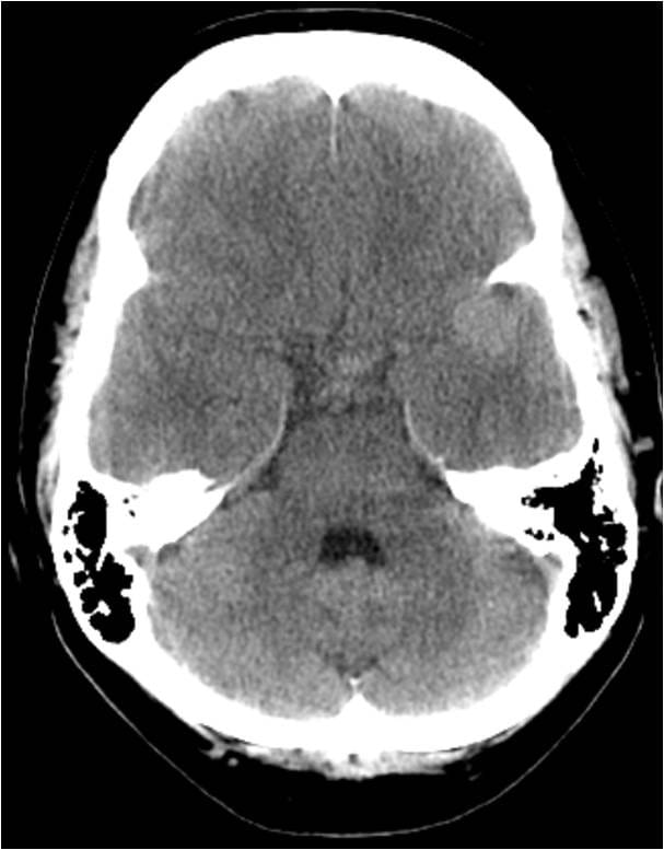
This video documents the surgical clipping of a giant middle cerebral artery aneurysm. The patient is a 56-year-old woman with a Grade I subarachnoid hemorrhage.
Supplemental photos also accompany the video below.