Noise-Induced Hearing Loss
The National Institutes of Occupational Safety and Health (NIOSH) and the National Institutes of Health recognize noise-induced hearing loss as a significant problem. A quick survey of the literature shows that there is lot of information on the physiological and anatomical changes in mice, rats and guinea pigs, following noise exposure. However, the molecular mechanism underlying noise-induced hearing loss (NIHL) remains to be fully understood. Our aim is to identify pathways associated with NIHL using specific inbred strains of the laboratory mouse. We are using an approach that would target cells within functional domains of the cochlea. Global expression profiling of cells of the organ of Corti and spiral ganglion following noise exposure will be used to identify pathways induced or influenced by NIHL.
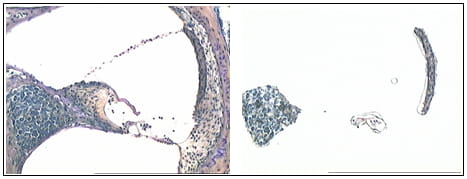
Laser capture microdissection: Sample here shows capture of cells from functional domains of the mouse cochlea.

Personnel Involved
PI: Kumar Alagramam, PhD
Research Assistant: Daniel Chen, MS
Research Assistant: Lauren Kisley, BS
Collaborators
Mark Chance, PhD ( Case Proteomics Center )
Patrick Laehy, PhD (Gene Expression Core Facility)
R. Davis , PhD, NIOSH, Cincinnati
L. Erway, PhD, U. Cincinnati